随着食品工业的快速发展,人们对先进食品包装的兴趣日益浓厚。包装可以保护食品免受外部影响和损害,维护食品安全,并以成本效益的方式延长保质期。在各种包装材料中,塑料占据了商业市场的很大一部分,因为它们具有吸引人的特性,如高强度、优秀的阻隔性能、柔韧性、轻质、良好的加工性和低成本。然而,传统塑料来自石油资源,再加上一次性使用,石油基塑料的包装应用正在造成严重的环境污染和资源损失。在环境和化石资源保护意识的推动下,可再生、可生物降解和可回收的生物基聚合物从科学、工业和消费者的角度引起了极大的关注。
甲基纤维素(Methylcellulose,简称MC)是一种纤维素甲基醚,属于非离子型纤维素醚。它是一种白色或浅黄或浅灰色的小颗粒、纤丝状或粉末状物质,无臭无味。它在无水乙醇、乙醚、丙酮中几乎不溶,而在80~90℃的热水中迅速分散、溶胀,降温后迅速溶解,水溶液在常温下相当稳定,高温时能凝胶,并且此凝胶能随温度的高低与溶液互相转变。甲基纤维素具有优良的润湿性、分散性、粘接性、增稠性、乳化性、保水性和无毒、无致敏、无刺激性以及对油脂的不透性,形成的膜具有优良的韧性、柔曲性和透明度,。甲基纤维素因其多种物理和化学性质,被广泛应用于建筑、医药、食品、化妆品等领域。但甲基纤维素的保水性受温度影响较大,温度越高,保水性越差,且不具备抗菌、抗氧化、响应变色等性能。
纳米复合材料是一种新型的包装材料,它们具有高强度、韧性、阻隔性和抗菌性,可增强食品的功能特性。因此,它们是食品包装应用的有前途的候选者。在纳米材料的不同家族中,金属-有机框架(MOFs)是一类由各种金属离子和有机配体组成的多孔结晶纳米材料。由于其笼状结构、大表面积和可调功能,它们在乙烯/氧气吸收能力、机械强度和生物活性功能方面越来越多地用于食品相关化合物和活性食品包装的封装。其中,铁基金属有机框架 (Fe-MOF) 环保且制备成本低,此外,掺铁具有有益的特性,可用作铁强化食品,还可以改善包装性能。因此,开发简单、绿色、经济的方法来制备氨敏性能铁基配合物纳米粒子应用于甲基纤维素基包装材料,具有广阔的前景。
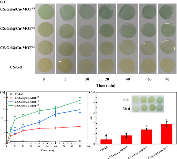
Li等人简单的超声方法以对苯二甲酸为配体合成了 Cu-MOF,然后将其作为填料掺入壳聚糖(CS)/明胶(Gel )基质中,使用溶液流延法制备了 CS/Gel@Cu-MOF 复合包装膜,CS/Gel@Cu-MOF 薄膜对挥发性氨表现出强烈的颜色响应(如图1所示),突出了它们在智能活性食品包装中的应用潜力
。

图1 挥发性氨 (50% v/v) 对 CS/Gel@Cu-MOF 薄膜的影响:(a) 颜色变化图片和 (b) ΔE 值的相应演变。(c) 在 25 °C 和 57% RH 下保存的 CS/Gel@Cu-MOF 薄膜的颜色稳定性。
Wang等人通过将黑枸杞 (BW) 花青素引入由聚乙烯醇 (PVOH) 和甲基纤维素 (MC) 组成的固体基质中,开发了一种PVOH/MC/BW指示膜,它能够快速响应酸性或碱性蒸气以及监测鸡肉和虾质量变化。通过研究表明制备的膜可以通过其敏感的颜色变化智能、准确地指示鸡虾肉的品质变化。
Mao等人以没食子儿茶素没食子酸酯(EGCG)和铁(Fe)为基体,并成功将百里香精油纳米乳液(TEON)掺入海藻酸钠(SA)基质中,通过溶液流延法制备SA基膜,明显增强了薄膜的动态抗菌性能(如图2所示)。SA基薄膜显著降低猪肉pH值,显示出对猪肉的突出保鲜效果。
图2 (A)SA基膜对大肠杆菌和金黄色葡萄球菌的抑菌作用以及(B–C)不同SA基膜的动态抗菌活性
Zheng等人结合甲基红和溴百里酚蓝(MR-BTB, MB)的基于氨/pH 超敏感结冷胶/羧甲基纤维素钠 (GG/CMC-Na, GC) 的标签来监测羊肉的新鲜度,不同氨浓度下 GC-MB 标记的表观颜色(如图 3A 所示)。标记在氨环境中经历了从最初的橙红色到黄绿色的显著转变,最后变为绿色。这是由于 NH4+ 的成立,由氨 (NH3)导致标签表面出现碱性条件,从而导致颜色变化。这些颜色变化与杂化染料的氨响应颜色变化一致。随着 MB 浓度的增加,标签颜色的饱和度升高,ΔE 值不断增加(如图3B所示)。而所有标记物在不同 pH 条件下均呈现橙色-粉红色-黄色-绿色-蓝色趋势(如图3C所示)。可以预见的是,由于颜色变化的可视化,GC-MB 标记在食品新鲜度监测方面具有很大的潜力。
图3 氨响应中 GC-MB 标记的表观颜色 (A) 和 ΔE 变化 (B),pH 响应中 GC-MB 标记的表观颜色 (C) 和 ΔE 变化 (D)
Kang 等人通过将 Cu-MOF 引入淀粉(SP)和聚乙烯醇(PVA)基质,以虾为实验对象,探讨了 SP/Cu-MOF 复合薄膜是否可以用作智能包装材料,用于虾的实时新鲜度监测,在 4 °C 和 28 °C 时,虾的颜色随着时间的推移从青色变为橙红色,表明此时虾已经完全变质(如图4a 和 b所示)。在此操作中,SP0 薄膜的 ΔE 值没有明显变化,而添加 Cu-MOF 的标签颜色由最初的蓝绿色显着变为棕色,ΔE 值甚至高于 47,验证了使用该指示标签可以准确、高效、无损地确定肉制品的品质。
图4利用由 SP/Cu-MOF 复合薄膜制成的智能标签来跟踪在 28 °C 和 4 °C 两种不同温度下储存的虾的新鲜度
因此,本项目的研究重点是利用4-羟基肉桂酸和铁盐,设计制备具有多重响应(pH响应、可视化氨响应变色、温敏变色)和优异抗菌、抗氧化性能的铁基纳米材料;研究上述多功能铁基纳米材料对甲基纤维素复合膜材料结构与性能(pH响应、可视化氨响应变色、温敏变色、抗菌、抗氧化等)的影响规律,阐明相关的改性机理,优化条件,制备出环境友好、综合性能优异的多重响应甲基纤维素复合膜材料;并探讨上述纳米复合膜材料在食品包装领域中抗菌保鲜、智能指示标签等方面的应用。多
项目小组成员,对该课题怀有强烈的兴趣,已经系统学习了无机化学和有机化学等相关专业课程,前期已经做了大量的文献调研工作,往下就是把理论变成实践,本组成员均具有较高实际动手实践能力,具有较高创新思维。对配合物和高分子材料无论从合成、结构还是到性质应用方面都有着很深入的了解,这为项目能够顺利完成打下了坚实的基础。另外,项目组指导老师多年来一直致力于功能性配合物材料、生物基高分子材料的研究,在多组分高分子复合体系相结构与性能研究方面积累了丰富的经验的研究,能够保障本项目如期顺利完成。